Noticias de Cantabria

Salud

Una infección multirresistente está a punto de evolucionar en los pacientes con fibrosis quística

Una infección multirresistente está a punto de evolucionar en los pacientes con fibrosis quística

Los científicos han podido rastrear el modo en que un organismo multirresistente puede evolucionar y propagarse ampliamente entre los pacientes con fibrosis quística, demostrando que puede evolucionar rápidamente dentro de un individuo durante la infección crónica. Los investigadores afirman que sus hallazgos ponen de manifiesto la necesidad de tratar inmediatamente a los pacientes con infección por `Mycobacterium abscessus`, en contra de la práctica médica actual.
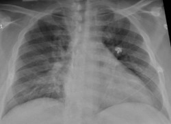
 Un nuevo atlas celular de los pulmones revela por qué el virus es mortal y diferente

Un nuevo atlas celular de los pulmones revela por qué el virus es mortal y diferente

Un nuevo estudio del Colegio de Médicos y Cirujanos Vagelos de la Universidad de Columbia y del Centro Oncológico Integral Herbert Irving (Estados Unidos) ha dibujado la imagen más detallada hasta ahora de la infección por SARS-CoV-2 en el pulmón, revelando los mecanismos que dan lugar a la COVID-19 letal, y puede explicar las complicaciones a largo plazo y mostrar cómo la COVID-19 difiere de otras enfermedades infecciosas.
Mala salud mental si estás expuesto a contaminación en la infancia

Mala salud mental si estás expuesto a contaminación en la infancia

Un estudio de varias décadas de duración sobre adultos jóvenes que viven en el Reino Unido ha descubierto tasas más elevadas de síntomas de enfermedad mental entre los expuestos a niveles más altos de contaminantes atmosféricos relacionados con el tráfico, en particular los óxidos de nitrógeno, durante la infancia y la adolescencia.

Los investigadores descubren una posible nueva forma de tratar la sequedad de boca

Unos investigadores que estaban estudiando con ratones hicieron un descubrimiento fortuito que podría conducir a un nuevo tratamiento de la boca seca, que han presentado en la reunión anual de la Sociedad Americana de Farmacología y Terapéutica Experimental durante la reunión virtual de Biología Experimental (EB) 2021. Más del 10% de las personas experimentan sequedad bucal, que puede estar causada por afecciones médicas, tratamientos de radiación, ciertos medicamentos y el envejecimiento.
Los científicos desarrollan un nuevo fármaco contra el cáncer con potencial para tratar la leucemia

Los científicos desarrollan un nuevo fármaco contra el cáncer con potencial para tratar la leucemia

Los científicos de la Universidad de Cambridge (Reino Unido) han dado un paso prometedor hacia el desarrollo de un nuevo fármaco para tratar la leucemia mieloide aguda. En un estudio publicado en la revista `Nature`, informan de un nuevo enfoque para el tratamiento del cáncer que se dirige a las enzimas que desempeñan un papel clave en la traducción del ADN en proteínas y que podría conducir a una nueva clase de medicamentos contra el cáncer.
Desarrollan unos parches electrónicos ultrafinos que pueden controlar el pulso y la presión arterial del usuario

Desarrollan unos parches electrónicos ultrafinos que pueden controlar el pulso y la presión arterial del usuario

Científicos de la Universidad de Osaka, en Japón, en colaboración con la compañía austriaca Joanneum Research, han presentado unos parches inalámbricos de control de la salud que utilizan nanogeneradores piezoeléctricos integrados para alimentarse con la energía biomecánica recogida. Este trabajo puede dar lugar a nuevos sensores de salud autónomos, así como a dispositivos electrónicos portátiles sin batería, según publican sus autores en la revista `Nature Communications`.
El IMC previo al embarazo y el tiempo de televisión son determinantes en el peso futuro de los hijos

El IMC previo al embarazo y el tiempo de televisión son determinantes en el peso futuro de los hijos

Un nuevo estudio realizado por investigadores australianos revela que los cambios en los patrones de estilo de vida se asociaron longitudinalmente con los cambios concurrentes en las puntuaciones del índice de masa corporal (IMC), y que, según un publican en línea en `Obesity`, la revista insignia de la Sociedad de la Obesidad (TOS, por sus siglas en inglés). Se trata del primer estudio que utiliza un modelo de trayectorias múltiples para examinar la relación longitudinal entre los cambios concurrentes en los patrones de estilo de vida y las puntuaciones z del IMC en la primera infancia.

Prueban con éxito una terapia contra el cáncer mediante el uso de metaloenzimas artificiales para administrar fármacos

Investigadores dirigidos por Katsunori Tanaka y Kenward Vong en el RIKEN Cluster for Pioneering Research (CPR) de Japón han demostrado que el crecimiento de los tumores puede reducirse mediante una terapia que marca las células cancerosas con diferentes moléculas terapéuticas. En un caso, el grupo pudo evitar la formación de tumores en ratones al marcar las células cancerosas con un compuesto que dificulta que las células se agrupen y formen tumores. En el caso de los tumores ya existentes, se dirigieron a las células cancerosas con compuestos tóxicos que las destruyeron, según publican en la revista `Science Advances`.
Las personas con un índice alto de Omega-3 tienen menos probabilidades de morir prematuramente, según un estudio

Las personas con un índice alto de Omega-3 tienen menos probabilidades de morir prematuramente, según un estudio

Numerosos estudios han investigado el vínculo entre los omega-3 y las enfermedades que afectan el corazón, el cerebro, los ojos y las articulaciones, pero pocos estudios han examinado sus posibles efectos en la vida útil. Ahora un nuevo estudio señala que, ante dos personas en igualdad de condiciones de salud, la que tiene los niveles relativamente bajos de omega-3 tiene más posibilidades de morir prematuramente.
Nuevos marcadores sanguíneos podrían revelar un ataque al corazón en pacientes con dolor torácico

Nuevos marcadores sanguíneos podrían revelar un ataque al corazón en pacientes con dolor torácico

Un nuevo estudio ha identificado marcadores reveladores en la sangre de pacientes con infarto que los distinguían de los que sufrían dolor torácico por otras causas, lo que permitirá ayudar a descartar de forma no invasiva un ataque al corazón. Los investigadores esperan que los resultados conduzcan a nuevas pruebas de diagnóstico de los infartos, según publican en la revista de acceso abierto `Frontiers in Cardiovascular Medicine`.

Descubren un posible nuevo biomarcador para la detección temprana del Alzheimer

Investigadores del Karolinska Institutet, de Suecia, han estudiado un nuevo trazador PET que constituye una importante herramienta de diagnóstico de la enfermedad de Alzheimer. El estudio sobre la sustancia trazadora BU99008, que se publica en la revista `Molecular Psychiatry`, puede desempeñar un papel clave en la identificación temprana de los signos de la enfermedad de Alzheimer.
Descubren unas células de las vías respiratorias relacionadas con el síndrome de muerte súbita del lactante

Descubren unas células de las vías respiratorias relacionadas con el síndrome de muerte súbita del lactante

Una nueva investigación relaciona ciertas células que recubren las vías respiratorias humanas recién descubiertas con distintas enfermedades infantiles y que podrían arrojar luz sobre el síndrome de muerte súbita del lactante. El trabajo, publicado en la revista `Cell Reports` y dirigido por investigadores del Hospital General de Massachusetts (MGH), en Estados Unidos, podría conducir a nuevas estrategias de prevención y tratamiento de estas afecciones.
Expertos médicos y éticos abogan por generalizar el uso de la anestesia general para los pacientes moribundos

Expertos médicos y éticos abogan por generalizar el uso de la anestesia general para los pacientes moribundos

La anestesia general se utiliza ampliamente para la cirugía y las intervenciones diagnósticas, para garantizar que el paciente esté completamente inconsciente durante estos procedimientos. Sin embargo, en un artículo publicado en `Anaesthesia`, revista de la Asociación de Anestesistas norteamericana, expertos en ética y anestesia de la Universidad de Oxford, en Reino Unido, afirman que la anestesia general debería estar más disponible para los pacientes al final de su vida.

La dieta mediterránea con carne de res magra puede reducir los factores de riesgo de enfermedad cardíaca

Comer carne roja parece tener cada vez peor reputación, diferentes estudios apuntan a que su consumo es mala para el corazón e incluso la han relacionado con el cáncer, sin embargo muchas veces es más por su abuso o la forma de cocinarse que por la carne en sí. De hecho, una nueva investigación señala que la carne magra puede tener un lugar en las dietas saludables, después de todo.
 Investigadores españoles demuestran que pacientes con Covid tienen síntomas neurológicos con alta frecuencia

Investigadores españoles demuestran que pacientes con Covid tienen síntomas neurológicos con alta frecuencia

Una investigación llevada a cabo por investigadores y profesionales sanitarios españoles ha observado que existe una frecuencia muy elevada de manifestaciones neurológicas en las personas que han sido contagiados por el SARS-CoV-2 y que determinados síntomas neurológicos específicos se correlacionan con la edad y la inmunidad desarrollada a largo plazo y no con la carga viral de los pacientes con COVID-19.
Un análisis de sangre podría reemplazar la cirugía para algunos pacientes con tumores cerebrales

Un análisis de sangre podría reemplazar la cirugía para algunos pacientes con tumores cerebrales

Investigadores del Centro de Excelencia de Investigación de Tumores Cerebrales de la Universidad de Plymouth han descubierto un biomarcador que ayuda a distinguir si el meningioma, la forma más común de tumor cerebral primario en adultos, es de grado I o de grado II, lo que supone que un simple análisis de sangre podría reducir, o en algunos casos reemplazar, la necesidad de una cirugía intrusiva para determinar el mejor curso de tratamiento para pacientes con un tipo específico de tumor cerebral.
Un estudio revela que dos raciones de pescado a la semana pueden ayudar a prevenir enfermedades cardíacas recurrentes

Un estudio revela que dos raciones de pescado a la semana pueden ayudar a prevenir enfermedades cardíacas recurrentes

Un análisis de varios estudios de gran envergadura con participantes de más de 60 países, encabezado por investigadores de la Universidad McMaster (Canadá), ha descubierto que comer pescado azul con regularidad puede ayudar a prevenir las enfermedades cardiovasculares (ECV) en personas de alto riesgo, como las que ya padecen enfermedades cardíacas o accidentes cerebrovasculares.
Los países europeos ignoran a los pacientes  mentales en la estrategia de vacunación

Los países europeos ignoran a los pacientes mentales en la estrategia de vacunación

Una encuesta realizada por las principales organizaciones europeas de pacientes psiquiátricos y de salud mental muestra que solo 4 de los 20 países europeos dan prioridad a las vacunas COVID para personas con trastornos mentales graves (como psicosis y problemas del estado de ánimo), a pesar de la gran cantidad de evidencia científica que muestra que estos pacientes se encuentran entre los de más riesgo, según publican en la revista `Lancet Psychiatry`.
OMS destaca  que el "incendio no se ha sofocado"

OMS destaca que el "incendio no se ha sofocado"

El director general de la Organización Mundial de la Salud (OMS), Tedros Adhanom Ghebreyesus, ha destacado la reducción en la transmisión de casos de coronavirus que se ha registrado en las últimas cinco semanas, si bien ha avisado de que el "incendio no se ha sofocado".